Skip to content
  • Call / Text (310) 785-0770
  • Payment Calculator
  • Blog
  • Shop
  • In The Press
Before & After
free consult
BHO White Logo
  • Our Practice
    • Who We Are
    • What Sets Us Apart
    • Meet Our Team
    • Meet The Doctors
    • Advanced Technology
    • In The Press
    • Patient Reviews
    • Community Events
  • What We Do
        • Invisalign®
          • About Invisalign
          • Invisalign For Kids
          • Invisalign for Teens
          • Invisalign For Adults
          • Invisalign FAQ
        • Braces
          • Types Of Braces
          • Braces For Kids
          • Braces For Teens
          • Braces For Adults
          • Braces for Seniors
          • Braces FAQ
        • Other Treatments
          • Accelerated Orthodontics
          • Zoom Teeth Whitening
          • Retainers
          • Phase One Orthodontics
          • Family Orthodontics
  • Resources
    • Your First Visit
    • Virtual Consult
    • Refer a Patient
    • Overseas Patients
    • Financial Information
    • Orthodontic FAQ
    • Before & After
    • The BHO Edit - Explore Our Blog
    • Emergency Orthodontics
    • Shop
  • Contact
    • Contact Info
    • Careers
    • Beverly Hills
    • Downtown Los Angeles
    • Studio City
    • South Pasadena/Alhambra
  • Before & After
  • Free Consult
BHO White Logo
  • Our Practice
    • Who We Are
    • What Sets Us Apart
    • Meet Our Team
    • Meet The Doctors
    • Advanced Technology
    • In The Press
    • Patient Reviews
    • Community Events
  • What We Do
    • Invisalign®
      • About Invisalign
      • Invisalign For Kids
      • Invisalign for Teens
      • Invisalign For Adults
      • Invisalign FAQ
    • Braces
      • Types Of Braces
      • Braces For Kids
      • Braces For Teens
      • Braces For Adults
      • Braces for Seniors
      • Braces FAQ
    • Other Treatments
      • Accelerated Orthodontics
      • Zoom Teeth Whitening
      • Retainers
      • Phase One Orthodontics
      • Family Orthodontics
  • Resources
    • Your First Visit
    • Virtual Consult
    • Refer a Patient
    • Overseas Patients
    • Financial Information
    • Orthodontic FAQ
    • Before & After
    • The BHO Edit – Explore Our Blog
    • Emergency Orthodontics
    • Shop
  • Contact
    • Contact Info
    • Careers
    • Beverly Hills
    • Downtown Los Angeles
    • Studio City
    • South Pasadena/Alhambra
  • Before & After
  • Free Consult
  • Call / Text (310) 785-0770
  • Payment Calculator
  • Blog
  • Get $1,000 Off
GET $1,000 OFF
  • Facebook
  • Instagram
  • List Item
  • YouTube
  • List Item

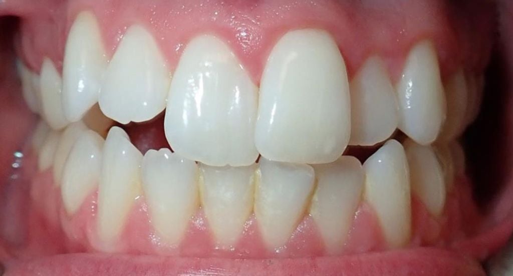
Crossbite Before and After

The first thing most people notice when meeting someone new is their smile. Having a great smile can make people feel more comfortable, happier, and welcome. However, having teeth out of position, also called malocclusions, can make it harder to eat and speak and can also make you feel self-conscious or have lower self-esteem.


This Crossbite Before and After Gallery showcases three of BHO’s most recent patient success stories. Discover how BHO corrects crossbite issues with different treatment options.

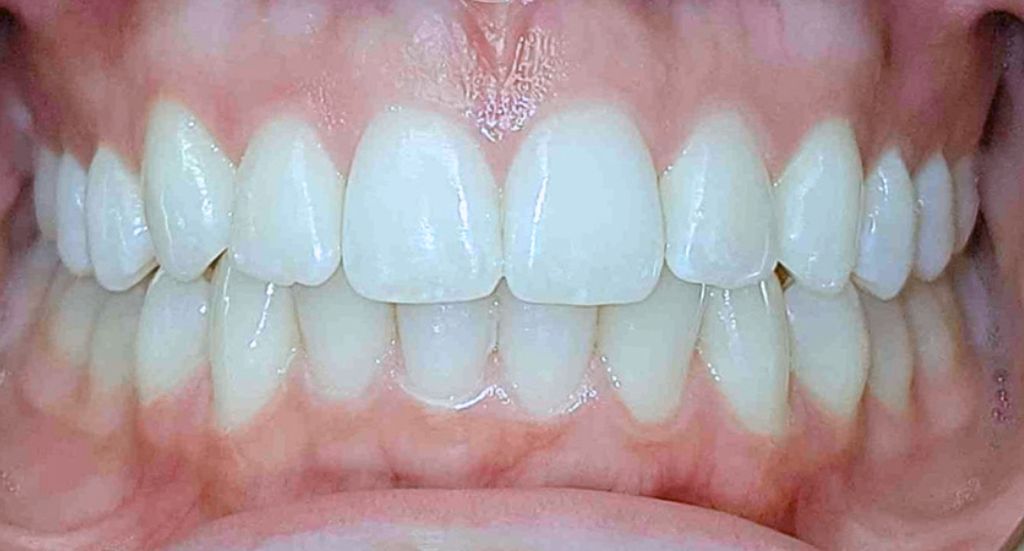
Patient 1

By the time he found BHO, this patient had already gotten two conflicting opinions from other dental providers and wanted to find another opinion to help him get the straight teeth he always wanted. He was told because of his severe crowding, he would need to get his teeth removed if he wanted a straight bite. However, Dr. Madan and the team at BHO had a better plan.

This patient was able to use Invisalign to straighten his teeth. By the end, he was very happy to finally have straight teeth without needing to have any extractions at all!

Before

crossbite-Patient-1-Before-2

After

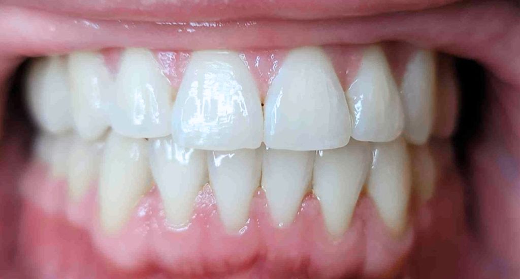
Patient 2

This patient came to BHO after having had orthodontics in the past and not achieving the smile and bite he always wanted. Even after previous treatment, he still had a narrow upper arch and the crowding of his teeth caused an anterior (front) crossbite.

He used Invisalign to treat his crowding and now has the smile he’s always dreamed of.

Before

crossbite-Patient-2-Before-2

After

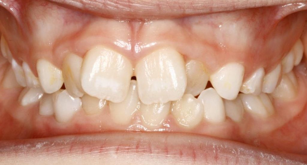
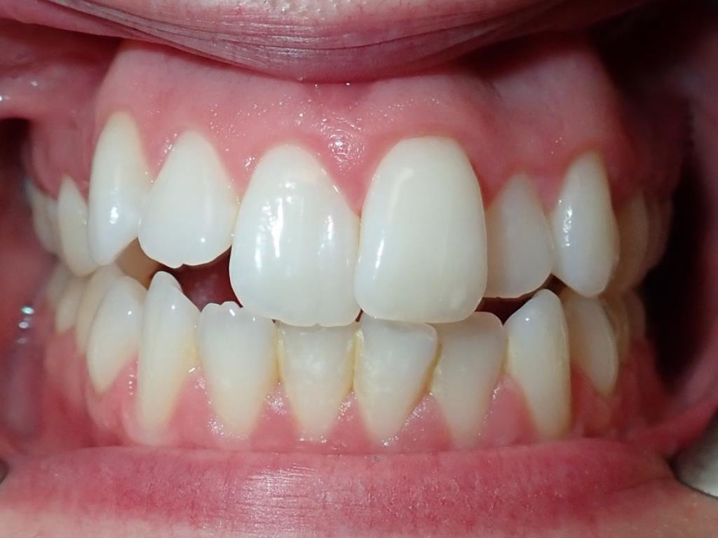
Patient 3

This patient began as a youth consultation to see if we could reposition her teeth while her jaw bones were still growing and moving. Her front teeth were flared due to crowding, and many of her back teeth were in a crossbite position, with the top teeth resting on her bottom teeth closer to her tongue than her cheek.

She began in bonded braces to reposition her teeth, then wore a Growth and Development retainer to help guide her teeth and jaws to the correct position. She finished her treatment with Invisalign to give her the perfect smile you see today.

Before

crossbite-Patient-3-Before-1
crossbite-Patient-3-Before-2

After

What is a Crossbite?

In a normal bite, the top teeth overlap the bottom teeth and rest closer to the cheeks, while the bottom teeth are positioned closer to the tongue. A crossbite is a common form of malocclusion where this is reversed, and either the top teeth are angled inward toward the tongue, or the bottom teeth are pointed outward toward the cheeks. This can cause more pressure than normal on individual teeth leading to other problems. 

Crossbites can manifest in two main ways:

  • Anterior (Front) Crossbite: The most noticeable type of crossbite because it involves the front teeth where other people can see when you smile. Anterior crossbite can include just one tooth or several teeth. 
  • Posterior (Back) Crossbite: Posterior crossbites aren’t as noticeable when a person smiles but can cause many other problems and still need to be fixed. These misalignments involve the back teeth and can also include just one or several teeth. Posterior crossbites are common when one jaw bone grows more or faster than the other.

Crossbites can cause issues beyond appearance, including chewing difficulties, tissue trauma, tooth damage, and pain from uneven pressure on your joints. Treatment by an orthodontist can help you decide how and when to address these issues.

Beverly Hills Orthodontics (BHO) has corrected countless mild-to-severe crossbite cases across Los Angeles since we began operations in 2008. With locations in Beverly Hills, Downtown LA, Studio City, and Alhambra, Dr. Monica Madan and the BHO team use Invisalign, braces, and other measures to eliminate crossbites and provide patients with flawless smiles.

How Are Crossbites Treated?

Braces: Bonded braces involve metal brackets fastened to the tooth and an archwire connecting all the brackets. Teeth are gradually moved into position by pressure from the wire and any elastics.

Elastics: Elastics are rubber bands used along with traditional braces to add a little extra pressure to slowly pull the teeth into proper alignment.

Expanders: Expanders are devices that sit across the roof of the mouth to slowly apply pressure to the inside surface of teeth, slowly pushing them outward to expand the upper jaw to fit properly over the lower jaw.
Tooth extraction: Tooth extraction is sometimes necessary to correct overcrowding problems that can lead to crossbites. Removing one or more teeth allows room for the other teeth to move into position to form a functional and great-looking smile.
Surgery: In cases where the jaw bones are fully formed and not easily moved, surgery might be necessary for more extreme cases of crossbite to effectively get all teeth into their proper position.

Invisalign: Using Invisalign can correct patients’ crossbites with many of the same benefits from braces without many downsides. Invisalign aligners can gradually move teeth into the desired positions while being more convenient and less noticeable.

Why Should You Consider Orthodontic Treatment for Your Crossbite?

  • Improved Aesthetics: Orthodontics can lead to a more pleasing smile and increased confidence by correcting the alignment of your teeth and jaws – moving your teeth from a crossbite position to a normal bite.
  • Enhanced Functionality: Crossbites can prevent your teeth from biting together properly, which can cause problems chewing and speaking. Orthodontic treatment can improve your bite so you can function at your best.
  • Comfort and Pain Reduction: Crossbites can cause pain in your jaw and even headaches because of the improper pressure on specific teeth when you bite. The extra pressure from crossbites can increase the risk of developing temporomandibular joint (TMJ) issues. Relieving the pressure through orthodontic care can improve your quality of life and make your bite pain-free. 
  • Prevention of Dental Issues: Crossbites can cause dental trauma like chipping and fractures because of uneven pressure when you bite. Orthodontic treatment can prevent future dental problems by making your biting pressure even and improving your long-term oral health. 
Happy couple outdoors

Beverly Hills Orthodontics Provides the Best Crossbite Treatment in Los Angeles

Crossbites can affect your day-to-day life by causing oral health issues and impacting your self-esteem. The patients above are just a small sample of the great work we do here at Beverly Hills Orthodontics. Hopefully, after seeing these crossbite before and after pictures from real patients, you can see the benefit of getting care at BHO. For crossbites, our treatment options include: 

  • Braces
  • Elastics
  • Expanders
  • Tooth extraction
  • Invisalign

When you schedule a consultation to assess your needs, we can create a customized orthodontic treatment plan to give you the beautiful smile you deserve within 12-24+ months. 

Our founder and lead orthodontist, Dr. Monica Madan, is an Ivy League graduate who ensures we are at the forefront of orthodontic treatments and use the latest tools and techniques. As a Blue Diamond Top 1% Invisalign provider and one of only four in California, you can be sure that you’ll receive the best treatment for your crossbite. 

With offices in Beverly Hills, Studio City, Alhambra, and Downtown LA, Beverly Hills Orthodontics is accessible to nearly all residents of Los Angeles County.

Want to get more “crossbite” before and after information? Call or text BHO at 310-785-0770 or visit our contact page to book a whitening appointment and set yourself on the path toward a brighter smile.
NOTE: All blog content is intended to supplement—NOT REPLACE—the expertise of a healthcare professional and should not be construed in any way as medical advice. Consult a professional orthodontist directly, like the ones at BHO, to assess your individual needs and advise the best course of treatment.
Happy Girl

Get Started Today

Ready to transform your smile?

Request Free Consult
Special Offer

$1,000 Off Invisalign or Braces

Get Started

patient reviews

Enjoy our 5-star experience.

We are thankful for the opportunity to serve our communities with the highest quality care. Check out what our patients are saying about their 5-star experience with us!

smiling-beautiful-girl-her-handsome-boyfriend-casual-summer-clothes-web
Ezra L.
As a first time patient, I couldn’t have asked for a better visit. From the moment I walked in I knew I was in good hands. I would easily recommend.
Ryan C.
I recommend BHO if you want premier Invisalign treatment along with a strong connection with the people that help treat you.

I’ve been with BHO for around two and a half years now, and the amount of progress I’ve made in my bite is astounding. I wish I could attach photos, but I started off with a bite that looked like if you combined the worst parts of a crossbite and underbite, and then doubled the severity.

However, now I’m nearly done, and find that I when I smile and look in the mirror, I am genuinely happy at what I see. Dr. Madan is a great orthodontist without doubt, but also I believe equally as good in quality of character. The relationship between client and provider in any sort of medical service is paramount, and whenever I’ve brought up my concerns to her she’s answered wholeheartedly.

Once again, if you have any orthodontic issues - crooked teeth, gaps, or most importantly with your bite, then BHO won’t let you down.
Response from the owner:Thank you, Ryan, for your wonderful review! It’s fantastic to hear about your remarkable progress and your positive experience with Dr. Madan. We’re committed to building strong relationships and ensuring every smile shines bright!
Cindy M.
Dr. Madam along with her whole team are amazing! Very patient and attentive, always welcoming and making the Invisalign journey a pleasant experience
Response from the owner:Thank you, Cindy! We're thrilled to hear that you had a positive experience with Dr. Madan and our team. Your satisfaction is our priority, and we look forward to continuing your Invisalign journey!
Chelsea C.
Went in for a free consultation. I saw Dr. Serena and Angela who helped answer all my questions. The staff that took my scans were also very nice and friendly!
Response from the owner:Thank you for your wonderful review, Chelsea! We're thrilled to hear that Dr. Serena and Angela addressed all your questions and that our staff made your visit enjoyable. We look forward to seeing you again!
read more reviews
come visit us

We can’t wait
to see you soon!

  • BEVERLY HILLS
  • 2080 Century Park E #505
    Los Angeles, CA 90067
  • DOWNTOWN LA
  • 740 S. Olive St. Unit 105
    Los Angeles, CA 90014
  • STUDIO CITY
  • 10751 Riverside Dr.
    Toluca Lake, CA 91602
  • ALHAMBRA
  • 320 S. Garfield Ave. Suite 306
    Alhambra, CA 91801
Alhambra

Studio City

Downtown LA

Beverly Hills

Sign up for our Newsletter!

Keep up to date on everything Beverly Hills Orthodontics is doing with our patients and the community!

[ctct form="16980" show_title="false"]
Footer logo

QUICK LINKS

  • Our Practice
  • What We Do
  • Patient Resources
  • Contact Us
  • In The Press
  • Our Practice
  • What We Do
  • Patient Resources
  • Contact Us
  • In The Press

CONTACT US

  • Beverly Hills
  • Downtown LA
  • Studio City
  • Alhambra
  • Call/Text (310) 785-0770

FOLLOW US

  • Facebook
  • Instagram
  • Twitter
  • YouTube
  • Yelp

CONTACT HOURS

Monday8:00am – 6:00pm
Tuesday8:00am – 6:00pm
Wednesday8:00am – 6:00pm
Thursday8:00am – 6:00pm
Friday8:00am – 6:00pm
Saturday8:00am – 4:00pm
Request Free Consult

© Copyright 2026 Beverly Hills Orthodontics | Sitemap | Privacy Policy | Notice of Privacy Practices | Accessibility 

We're Hiring! Contact Us for Details on Open Positions!

Apply Now
Related Pages:
  • gap teeth: before and after
  • before and after braces
  • invisalign: before and after
  • crooked teeth: before and after
  • what is a crossbite and how can an orthodontist help?
  • overbite: before and after treatment at bho
  • Open Bite Treatment Results
  • underbite: before and after treatment at bho

croosbite, adult crossbite, teeth braces pictures before and after, cross bite, anterior crossbite treatment in adults, braces for crossbite before and after, cross bute, invisalign cross bite, crossbite treatment, invisalign posterior crossbite, crossbite jaw pain, cross bite teeth treatment, crossbite teeth, cross bite teeth, kreuzbiss vorher nachher, crossbite in adults, clear aligners crossbite, posterior crossbite, crossbite problems, invisalign for crossbite, cross bite smile, how to fix a cross bite, crossbite smile, fix crossbite, correcting a crossbite, veneers crossbite, anterior crossbite before and after, how to fix crossbite, cross over bite, crossbite posterior, crossbite palate expander before and after, crossbitw, crossbite before and after invisalign, cross bige, overcrowded teeth before and after, fixing crossbite, orthodontic pictures before and after, crossbite correction before and after, crossbite teeth treatment, braces crossbite before and after, cross bite orthodontics, crossbite photos, cross bite treatment, whats a cross bite, crossbite before and after braces, jaw surgery before and after crossbite, narrow smile before and after, invisalign crossbite, crossbite teeth braces, reverse crossbite, crossbite jawline, posterior crossbite invisalign, narrow smile correction, cross bites, crossbite correction in adults without surgery, narrow smile before after, can braces fix crossbite in adults, does fixing a crossbite change your face, minor crossbite, crossbite correction in adults, crosbite, does invisalign work for crossbite, how to fix a crossbite without braces, cross bite surgery, crossbite invisalign before and after, inward jaw, braces for crossbite, cross bite braces before and after, cross elastics orthodontics, posterior crossbites, braces progress pictures, do braces fix crossbite, crossbite fix before and after, crossbite correction, crossbitr, posterior crossbite treatment, how to tell if you have a crossbite, braces for a crossbite, jaw surgery for crossbite before and after, extreme crossbite, crossbite invisalign, open bite braces before and after, crossbite surgery before and after, cros bite, crossbite face, invisalign crossbite before and after austin, how to fix crossbite in adults, crossbute, posterior crossbite correction in adults, braces before and after crossbite, cross-bite, posterior crossbite before and after, crossbite teeth images, cross bite invisalign, cross bite photos, crossbite malocclusion, crossbite braces before and after, crossbite retainer, croos bite, crossbite teeth before and after, before and after straight teeth, cross bite vs normal bite, kreuzbiss op vorher nachher, invisalign and crossbite, what does a cross bite look like, cross bite after braces, what is a cross bite in teeth, front teeth angled inward, invisalign crossbite before and after, straight teeth near me, correcting crossbite in adults, whats a crossbite, crossbite elastics orthodontics, cross bite., teeth crossbite, posterior crossbite elastics, crossbite tmj, crossbite developed after braces, crossbite after braces, cross bite teeth braces, crossbite before after, fixing a crossbite, cross bite posterior, crossbite teeth after braces, cross braces teeth, lingual crossbite, is crossbite normal, posterior cross bite, crossbite before and after jaw, can invisalign fix crossbite, what does a crossbite look like, crossbite elastics before and after, crossbite jaw alignment, crossbite jaw, crossbite effects, cross bite before and after, does crossbite affect jawline, braces before and after adults crowding, crossbite braces, crossbite elastics, crossbite with braces, can invisalign fix a crossbite, cross bote, types of crossbites, cross bite correction, crossbiye, crossbite braces how long, celebrities with crossbite, what is a crossbite, slight crossbite, inward slanted teeth, crossbite orthodontics, veneers for crossbite, invisalign before and after crossbite, crossbite images, elastics for crossbite, how to fix a crossbite, invisalign before and after narrow arch, invisalign for crossbites lower manhattan, teeth angled outward, crossbite pictures, what problems can a crossbite cause, before and after braces crossbite, before and after crossbite, invisalign with cross elastics, interior crossbite, cross hite, severe crossbite, crossbite jaw surgery before and after, inward teeth after braces, small crossbite, mild cross bite, how to correct crossbite in adults, inward teeth before and after, crossbite near me, crossbite examples, how to fix crossbite without braces, invisalign crossbite before and after reddit, braces adults before and after, cross bitw, cross bite braces, crossbite before and after adults, invisalign for crossbites, what is crossbite, lips before and after braces, crossbite veneers, does invisalign fix crossbite, cross bite symptoms, braces for cross bite, corss bite, orthodontic crossbite, retainer for crossbite, crossbote, invisalign fix crossbite, flared teeth before and after, can braces fix crossbite, crossbite teeth correction, invisalign crossbite correction, crossbite and tmj, braces crossbite, how long to fix crossbite, cross bite before and after braces, can veneers fix crossbite, crossbite face before and after, crossbite with invisalign, teeth angled inward, mild crossbite, criss bite, crossbite treatment beverly hills, what is a cross bite, crossbite dental, cross bite reddit, cross bite rubber bands, what causes a crossbite, invisalign elastics before and after, lateral crossbite, types of crossbite, narrow smile after braces, what is cross bite, before and after teeth slanted inward, crissbite, crossbite and invisalign, cross bite elastics, crossbite treatment in adults, pictures of flared teeth after braces, cross biting, fix crossbite without braces, crossbite example, how does invisalign fix crossbite, crossbite adult, cross.bite, corssbite, cross bite front teeth, orthodontic elastics before and after, cross bite adalah, surgery for crossbite, uneven bite after braces, cross bite correction in adults, invisalign for cross bite, does crossbite need to be corrected, before and after dental braces, braces crowding before and after, can a crossbite be fixed with braces, crossbire, orthodontist before and after, teeth tilted inward, cross elastics braces, orthodontic treatment before and after, severe cross bite, invisalign for crossbite correction, crossbite asymmetrical jaw braces before and after, posterior crossbite treatment adults, dental crossbite, braces to fix crossbite, cross bite bands, how to fix crossbite naturally, treatment for crossbite, how long does it take to fix a crossbite, how does a crossbite affect your face, flared teeth before and after braces, inward slanted teeth before and after, fixing crossbite in adults, crossbite correction cost, before and after braces pictures adults, is a cross bite bad, braces elastics before and after, can invisalign correct crossbite, crossbite correction with braces, posterior lingual crossbite, treatment of posterior crossbite, crossbite lips, how common is a crossbite, cross bitr, one eyebrow one tooth guy, what is crossbite teeth, teeth before and after braces, can you show me pictures, how to correct a crossbite, is a crossbite considered medically necessary, how to fix a crossbite in adults, how should your teeth rest, how do you fix crossbite, crossbite fixed with braces, can you fix a crossbite without braces, crossbite asymmetrical face before and after, bottom teeth slanted inward, regular bite, invisalign jaw before and after, what does crossbite look like, tmj crossbite, jaw crossbite, cross bite tmj, before and after pics of braces, crossbite invisalign rubber bands, teeth braces before and after pictures, cross bite face, cross teeth, crossbite., how to correct crossbite, gum hai kisi ke pyar mein 785, are crossbites bad, before and after braces jaw, crossnite, cross ite, crossbite back teeth, whats a cross bute, upper teeth tilted inward, can clear aligners fix a crossbite, crossbite in orthodontics, cross bite back teeth, cross bight, can invisalign correct a crossbite, invisalign rubber bands crossbite, can crossbite be fixed with invisalign, front teeth angled outward, fix cross bite, crossbite before and after, crossbite rubber bands, cross bite and behind ear fullness, crowding braces before and after, crossbite asymmetrical face reddit, malocclusion crossbite, front teeth moving inward, teeth pointed inward, left posterior crossbite, crossbite issues, can a crossbite be fixed with invisalign, is crossbite a problem, braces on adults before and after, teeth slanted inward, can crossbite be fixed in adults, crossdte, how to know if you have a crossbite, crossbite vs normal bite, front teeth crossbite, underbite crossbite, does braces fix crossbite, braces before and after overcrowding, inward slanted teeth invisalign, inward teeth correction, slanted inward teeth, how does crossbite happen, crossbite before and after reddit, crossbite reddit, pictures before and after braces, vorher nachher kreuzbiss, where should your bottom teeth rest, can crossbite be fixed with braces, what causes a cross bite, mild posterior crossbite, slanted bite, can invisalign fix crossbite in adults, can you fix a crossbite with invisalign, crossbite treatment near me, correction of crossbite, where should bottom teeth rest, orthodontic treatment before after, front teeth slanted inward, how do braces fix crossbite, unilateral crossbite before and after, one tooth crossbite, what does a normal bite look like, crossbite elastic, adult crossbite correction, pictures of expanders for teeth, single tooth posterior crossbite correction, cross jaw bite, whats a normal bite, invisalign with rubber bands before and after, upper teeth tilted-inward, treatment of crossbite, correcting flared teeth, cross teeth treatment, how are crossbites fixed, how do you fix a crossbite, how to fix crossbite with elastics, does invisalign correct crossbite, what a normal bite looks like, crossbite correction surgery, how to fix a crossbite with braces, crossbite symptoms, crossbite invisalign cost, crossbite fixed with invisalign, braces elastics crossbite, do you need braces for a crossbite, cross biye, inward slanted teeth correction, what is cross bite in orthodontics, expander for teeth before and after, outward slanted teeth, unilateral crossbite treatment in adults, how do they fix a crossbite, cross bire