Skip to content
  • Call / Text (310) 785-0770
  • Payment Calculator
  • Blog
  • Shop
  • In The Press
Before & After
free consult
BHO White Logo
  • Our Practice
    • Who We Are
    • What Sets Us Apart
    • Meet Our Team
    • Meet The Doctors
    • Advanced Technology
    • In The Press
    • Patient Reviews
    • Community Events
  • What We Do
        • Invisalign®
          • About Invisalign
          • Invisalign For Kids
          • Invisalign for Teens
          • Invisalign For Adults
          • Invisalign FAQ
        • Braces
          • Types Of Braces
          • Braces For Kids
          • Braces For Teens
          • Braces For Adults
          • Braces for Seniors
          • Braces FAQ
        • Other Treatments
          • Accelerated Orthodontics
          • Zoom Teeth Whitening
          • Retainers
          • Phase One Orthodontics
          • Family Orthodontics
  • Resources
    • Your First Visit
    • Virtual Consult
    • Refer a Patient
    • Overseas Patients
    • Financial Information
    • Orthodontic FAQ
    • Before & After
    • The BHO Edit - Explore Our Blog
    • Emergency Orthodontics
    • Shop
  • Contact
    • Contact Info
    • Careers
    • Beverly Hills
    • Downtown Los Angeles
    • Studio City
    • South Pasadena/Alhambra
  • Before & After
  • Free Consult
BHO White Logo
  • Our Practice
    • Who We Are
    • What Sets Us Apart
    • Meet Our Team
    • Meet The Doctors
    • Advanced Technology
    • In The Press
    • Patient Reviews
    • Community Events
  • What We Do
    • Invisalign®
      • About Invisalign
      • Invisalign For Kids
      • Invisalign for Teens
      • Invisalign For Adults
      • Invisalign FAQ
    • Braces
      • Types Of Braces
      • Braces For Kids
      • Braces For Teens
      • Braces For Adults
      • Braces for Seniors
      • Braces FAQ
    • Other Treatments
      • Accelerated Orthodontics
      • Zoom Teeth Whitening
      • Retainers
      • Phase One Orthodontics
      • Family Orthodontics
  • Resources
    • Your First Visit
    • Virtual Consult
    • Refer a Patient
    • Overseas Patients
    • Financial Information
    • Orthodontic FAQ
    • Before & After
    • The BHO Edit – Explore Our Blog
    • Emergency Orthodontics
    • Shop
  • Contact
    • Contact Info
    • Careers
    • Beverly Hills
    • Downtown Los Angeles
    • Studio City
    • South Pasadena/Alhambra
  • Before & After
  • Free Consult
  • Call / Text (310) 785-0770
  • Payment Calculator
  • Blog
  • Get $1,000 Off
GET $1,000 OFF
  • Facebook
  • Instagram
  • List Item
  • YouTube
  • List Item

Jaw Surgery Before and After: BHO Treatment Gallery


For patients who have minor misalignments or have orthodontic care when they are young, the process usually involves braces or Invisalign aligners and retainers to keep the teeth in position after treatment. For those who are looking to straighten their teeth as adults, after all the bones in your mouth and face have stopped ”growing”, or who have more significant misalignments or uneven jaws, orthognathic (jaw) surgery might be necessary to get you the smile that you love.

Here at Beverly Hills Orthodontics, we know that having surgery can be scary and might cause some people to put off getting the care they need, but we are here to tell you that you’re not alone! Look at these fantastic jaw surgery before and after transformations to see what great results are possible. We will be here every step of the way, from your first consultation, through treatment planning, surgical referrals, and final adjustments to get you the beautiful smile you deserve.

Jaw Surgery Before and After Treatment at BHO

Below are some photos of patients who came to us to fix different orthodontic issues – from an underbite to extensive crowding – that all warranted orthognathic surgeries. Look at these patients’ beautiful success stories in our Jaw Surgery Before and After Gallery.

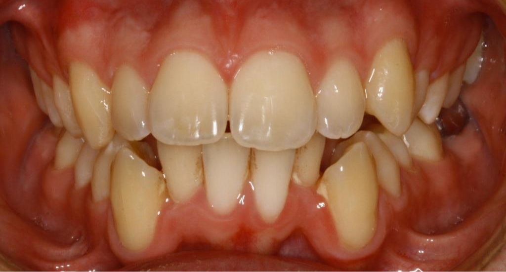
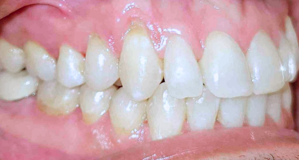
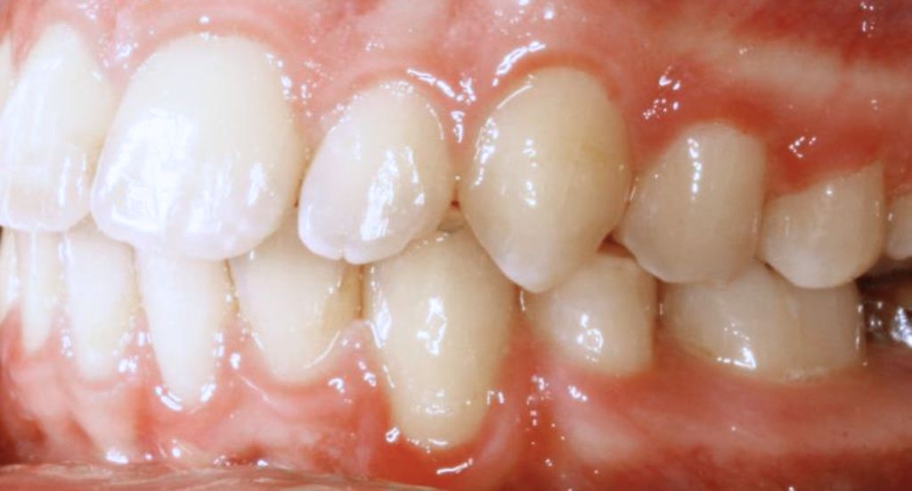
Patient 1

When this patient noticed his teeth shifting, he came to us to see how we could help. We diagnosed a Class III Occlusion (where the bottom jaw sits in front of the upper jaw) and moderate to severe crowding. The patient still had all his wisdom teeth, so we treatment planned for this patient to have his wisdom teeth extracted 8-9 months prior. 

This patient opted for orthognathic surgery with a surgical orthodontic treatment plan using traditional metal braces. In collaboration with his oral surgeon, his wisdom teeth were removed 9-12 months prior to his surgery. We placed braces on and aligned his teeth to prepare him for surgery. When his teeth were ready, we placed any additional attachments, and hooks the surgeon needed, and he went for surgery. After the surgery his orthodontic treatment made sure his bite was properly aligned and then he was ready for retainers.

Before

underbite-Patient-2-Before-3
Jaw-Patient-1-Before-1

After

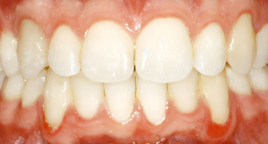
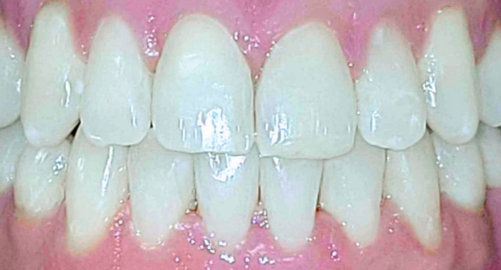
Patient 2

This patient came to us to see what we could offer to fix his deep overbite. He had severely retroclined incisors with a deep bite and reduced lower facial height. He started with Invisalign clear aligners. We re-evaluated and switched treatment to bonded braces paired with orthognathic surgery to widen his maxillary palate (the roof of his mouth). After the surgery, he had his braces removed. He wears retainers to maintain his healthier bite, more robust profile, and excellent smile.

Before

deep-bite-before-patient-1-2

After

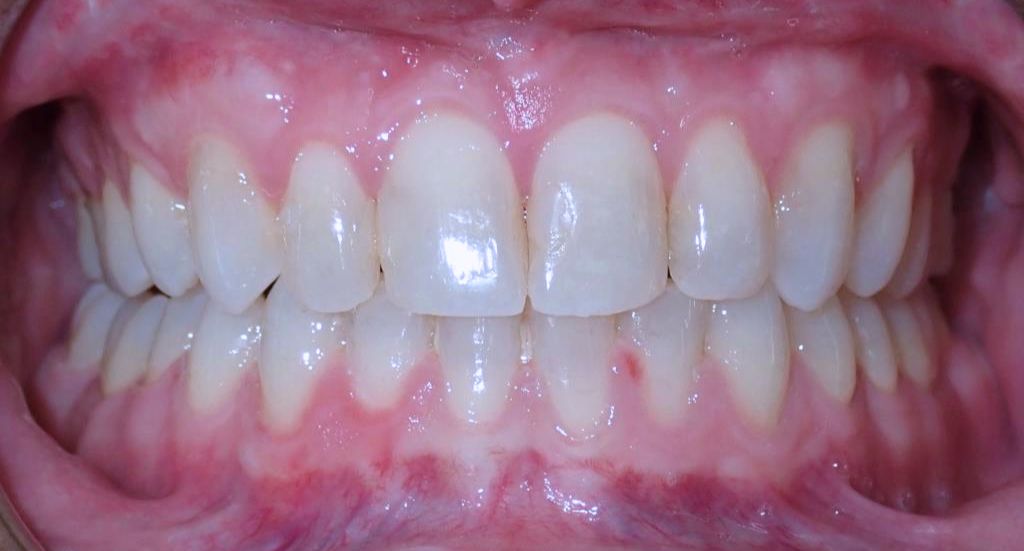
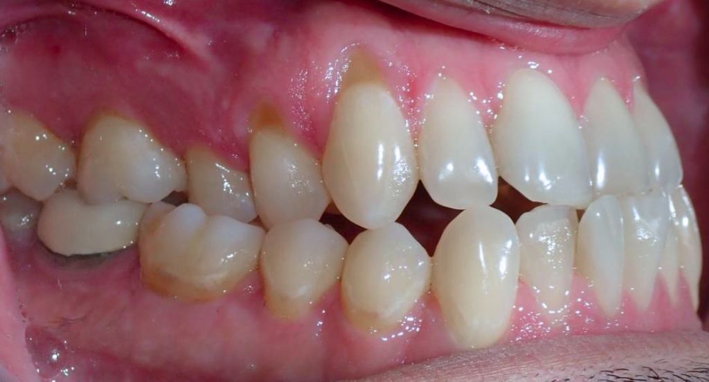
Patient 3

Patient 3 came to our office looking to straighten his crowded teeth. We knew he would benefit from orthognathic surgery to widen his maxilla (upper jaw) and make room for his teeth. 

We worked with his surgeon to get him in traditional bonded braces before, during, and after surgery. This patient was also given jaw exercises while recovering from surgery to strengthen his muscles and help his bones heal correctly. 

He now wears a Vivera clear retainer to keep his teeth straight and stable – as you can clearly see in that photo-ready smile!

Before

Patient-3-Before2
Jaw-Patient-3-Before-1

After

What Is Jaw Surgery?

Standard orthodontic treatment is phenomenal at correcting misalignments of the teeth. Crowding, rotations, open bites, and crossbites are no match for the arsenal of orthodontists’ tools and techniques to guide teeth back into their proper alignment. However, more extensive treatment is necessary when one of the jaws, the maxilla (upper), the mandible (lower), or both, are underdeveloped or develop too slowly. Scenarios like this are when jaw surgery, professionally known as orthognathic surgery, can benefit the patient enormously. 

Orthognathic surgery is performed by an oral surgeon or an oral and maxillofacial surgeon, typically in close consultation with a referring orthodontist. Jaw surgery can be used with orthodontics to correct the following conditions and disorders.

  • Malocclusion (Misalignment)
      • Severe misalignment of the jaws can lead to conditions such as underbite, overbite, or crossbite. These misalignments can cause difficulty in biting, chewing, and speaking, and can also cause aesthetic problems. 
  • Facial Asymmetry
      • Uneven face shape due to differences in jaw sizes can lead to self-esteem issues and potential TMJ and breathing problems. 
  • Obstructive Sleep Apnea
      • Sleep apnea can be caused by variations in anatomy, including the upper throat and sinuses. In some cases, orthognathic surgery can allow more space for the patient to breathe while asleep in bed.
  • Temporomandibular Joint (TMJ) Disorders
    • Some TMJ problems, like clicking, popping, and pain, can be treated by orthognathic surgery and orthodontics to put the joint into position to open and close smoothly. 

Before jaw surgery, orthodontics corrects misalignments and provides a stable foundation for the skeletal changes achieved by surgical interventions. Following jaw surgery, patients continue orthodontic treatment to fine-tune the alignment of their teeth and bite.

What Orthodontic Treatments Can Be Used with Jaw Surgery?

  • Braces: Traditional braces are commonly paired with jaw surgery cases. These more conventional braces include brackets connected to a metal archwire, individually bonded to each tooth. After surgery, they provide stability and exert force on the teeth and jaws to guide everything into the correct position.
  • Elastics: These professional-grade rubber bands are often used with overbite/underbite cases to gently bring the jaws into the proper occlusion (biting position). 
  • Invisalign: Instead of wire and brackets, Invisalign uses a series of clear aligner trays to shift the patient’s teeth over time. Invisalign provides many of the same benefits as traditional braces but is more discrete and easier to keep clean.
  • Expanders: Expanders are dental devices that can be used with jaw surgery to widen the upper or lower curve of the jaws. Expanders help maintain stable pressure after surgery, allowing your bones to heal correctly.

Why Should You Consider Orthodontic Treatment and Jaw Surgery?

  • Improve Aesthetics: By evening out the size of your jaws, surgery can give you a stronger profile and a straighter smile.
  • Prevent Dental Issues: Skeletal variations needing surgical correction can cause severe misalignments. When your teeth are crowded or out of position, it can be challenging to keep them clean. Plaque and calculus can lead to cavities and bone loss. Jaw surgery with orthodontic treatment can balance your jaws and provide room for all your teeth, making it easier to keep them clean and prevent future problems. 
  • Enhance Function: Jaw misalignments can affect your bite, changing your speech and eating. Orthognathic surgery and orthodontic treatment can improve your bite, making it easier to talk and chew food.
  • Increase Comfort and Reduce Pain: Extra pressure from having jaws out of alignment can cause headaches and jaw pain. Having jaw surgery can even out the pressure on your teeth and TMJ when you move your mouth or bite. By pairing orthodontics and jaw surgery, you can relieve that pain.

Beverly Hills Orthodontics Provides the Best Orthodontic Treatment for People Who Need Jaw Surgery in Los Angeles

Having skeletal variations in the size and shape of your jaws can affect your self-esteem – but more than that, it can impact your overall health. In the cases above, you have seen how jaw surgery can transform a patient’s smile in ways that orthodontics alone cannot. After seeing the before and after examples of the great work we can do with jaw surgery, you can see the added benefit of considering surgical options for more severe misalignments and jaw corrections. For patients who would benefit from jaw surgery, we provide orthodontic treatment options that include:

      • Braces
      • Elastics
  • Invisalign
  • Expanders

The professionals at BHO are well accustomed to providing orthodontic care to individuals who also need jaw surgery. With consulting oral surgeons throughout Los Angeles (only one floor above the Beverly Hills location), BHO is ready to provide you with a quick and easy surgical referral to a trusted expert surgeon. 

 With offices in Beverly Hills, Studio City, Alhambra, and Downtown LA, Beverly Hills Orthodontics is accessible to nearly all residents of Los Angeles County.

 

Want to get more before and after information about jaw surgery? Call or text BHO at 310-785-0770 or visit our contact page to book a consultation and start your path toward a brighter smile.

NOTE: All blog content is intended to supplement—NOT REPLACE—the expertise of a healthcare professional and should not be construed in any way as medical advice. Consult a professional orthodontist directly, like the ones at BHO, to assess your individual needs and advise the best course of treatment.
Happy Girl

Get Started Today

Ready to transform your smile?

Request Free Consult
Special Offer

$1,000 Off Invisalign or Braces

Get Started

patient reviews

Enjoy our 5-star experience.

We are thankful for the opportunity to serve our communities with the highest quality care. Check out what our patients are saying about their 5-star experience with us!

smiling-beautiful-girl-her-handsome-boyfriend-casual-summer-clothes-web
Ezra L.
As a first time patient, I couldn’t have asked for a better visit. From the moment I walked in I knew I was in good hands. I would easily recommend.
Ryan C.
I recommend BHO if you want premier Invisalign treatment along with a strong connection with the people that help treat you.

I’ve been with BHO for around two and a half years now, and the amount of progress I’ve made in my bite is astounding. I wish I could attach photos, but I started off with a bite that looked like if you combined the worst parts of a crossbite and underbite, and then doubled the severity.

However, now I’m nearly done, and find that I when I smile and look in the mirror, I am genuinely happy at what I see. Dr. Madan is a great orthodontist without doubt, but also I believe equally as good in quality of character. The relationship between client and provider in any sort of medical service is paramount, and whenever I’ve brought up my concerns to her she’s answered wholeheartedly.

Once again, if you have any orthodontic issues - crooked teeth, gaps, or most importantly with your bite, then BHO won’t let you down.
Response from the owner:Thank you, Ryan, for your wonderful review! It’s fantastic to hear about your remarkable progress and your positive experience with Dr. Madan. We’re committed to building strong relationships and ensuring every smile shines bright!
Cindy M.
Dr. Madam along with her whole team are amazing! Very patient and attentive, always welcoming and making the Invisalign journey a pleasant experience
Response from the owner:Thank you, Cindy! We're thrilled to hear that you had a positive experience with Dr. Madan and our team. Your satisfaction is our priority, and we look forward to continuing your Invisalign journey!
Chelsea C.
Went in for a free consultation. I saw Dr. Serena and Angela who helped answer all my questions. The staff that took my scans were also very nice and friendly!
Response from the owner:Thank you for your wonderful review, Chelsea! We're thrilled to hear that Dr. Serena and Angela addressed all your questions and that our staff made your visit enjoyable. We look forward to seeing you again!
read more reviews
come visit us

We can’t wait
to see you soon!

  • BEVERLY HILLS
  • 2080 Century Park E #505
    Los Angeles, CA 90067
  • DOWNTOWN LA
  • 740 S. Olive St. Unit 105
    Los Angeles, CA 90014
  • STUDIO CITY
  • 10751 Riverside Dr.
    Toluca Lake, CA 91602
  • ALHAMBRA
  • 320 S. Garfield Ave. Suite 306
    Alhambra, CA 91801
Alhambra

Studio City

Downtown LA

Beverly Hills

Sign up for our Newsletter!

Keep up to date on everything Beverly Hills Orthodontics is doing with our patients and the community!

[ctct form="16980" show_title="false"]
Footer logo

QUICK LINKS

  • Our Practice
  • What We Do
  • Patient Resources
  • Contact Us
  • In The Press
  • Our Practice
  • What We Do
  • Patient Resources
  • Contact Us
  • In The Press

CONTACT US

  • Beverly Hills
  • Downtown LA
  • Studio City
  • Alhambra
  • Call/Text (310) 785-0770

FOLLOW US

  • Facebook
  • Instagram
  • Twitter
  • YouTube
  • Yelp

CONTACT HOURS

Monday8:00am – 6:00pm
Tuesday8:00am – 6:00pm
Wednesday8:00am – 6:00pm
Thursday8:00am – 6:00pm
Friday8:00am – 6:00pm
Saturday8:00am – 4:00pm
Request Free Consult

© Copyright 2026 Beverly Hills Orthodontics | Sitemap | Privacy Policy | Notice of Privacy Practices | Accessibility 

We're Hiring! Contact Us for Details on Open Positions!

Apply Now
Related Pages:
  • do braces change your jaw?
  • before and after braces
  • invisalign: before and after
  • underbite correction without surgery

tmj surgery before and after, orthognathic surgery before and after, underbite surgery before and after, double jaw surgery before and after