Skip to content
  • Call / Text (310) 785-0770
  • Payment Calculator
  • Blog
  • Shop
  • In The Press
Before & After
free consult
BHO White Logo
  • Our Practice
    • Who We Are
    • What Sets Us Apart
    • Meet Our Team
    • Meet The Doctors
    • Advanced Technology
    • In The Press
    • Patient Reviews
    • Community Events
  • What We Do
        • Invisalign®
          • About Invisalign
          • Invisalign For Kids
          • Invisalign for Teens
          • Invisalign For Adults
          • Invisalign FAQ
        • Braces
          • Types Of Braces
          • Braces For Kids
          • Braces For Teens
          • Braces For Adults
          • Braces for Seniors
          • Braces FAQ
        • Other Treatments
          • Accelerated Orthodontics
          • Zoom Teeth Whitening
          • Retainers
          • Phase One Orthodontics
          • Family Orthodontics
  • Resources
    • Your First Visit
    • Virtual Consult
    • Refer a Patient
    • Overseas Patients
    • Financial Information
    • Orthodontic FAQ
    • Before & After
    • The BHO Edit - Explore Our Blog
    • Emergency Orthodontics
    • Shop
  • Contact
    • Contact Info
    • Careers
    • Beverly Hills
    • Downtown Los Angeles
    • Studio City
    • South Pasadena/Alhambra
  • Before & After
  • Free Consult
BHO White Logo
  • Our Practice
    • Who We Are
    • What Sets Us Apart
    • Meet Our Team
    • Meet The Doctors
    • Advanced Technology
    • In The Press
    • Patient Reviews
    • Community Events
  • What We Do
    • Invisalign®
      • About Invisalign
      • Invisalign For Kids
      • Invisalign for Teens
      • Invisalign For Adults
      • Invisalign FAQ
    • Braces
      • Types Of Braces
      • Braces For Kids
      • Braces For Teens
      • Braces For Adults
      • Braces for Seniors
      • Braces FAQ
    • Other Treatments
      • Accelerated Orthodontics
      • Zoom Teeth Whitening
      • Retainers
      • Phase One Orthodontics
      • Family Orthodontics
  • Resources
    • Your First Visit
    • Virtual Consult
    • Refer a Patient
    • Overseas Patients
    • Financial Information
    • Orthodontic FAQ
    • Before & After
    • The BHO Edit – Explore Our Blog
    • Emergency Orthodontics
    • Shop
  • Contact
    • Contact Info
    • Careers
    • Beverly Hills
    • Downtown Los Angeles
    • Studio City
    • South Pasadena/Alhambra
  • Before & After
  • Free Consult
  • Call / Text (310) 785-0770
  • Payment Calculator
  • Blog
  • Get $1,000 Off
GET $1,000 OFF
  • Facebook
  • Instagram
  • List Item
  • YouTube
  • List Item

Underbite: Before and After Treatment at BHO

A radiant smile can brighten moods and foster a hospitable ambiance, irrespective of the environment. Dental issues like misaligned teeth and bites, referred to as malocclusions, may disrupt the functional aspects of a smile and give rise to cosmetic worries that can affect one's self-confidence and a host of oral health concerns.


This Underbite Before and After Gallery showcases some of BHO’s most recent patient successes. Explore how BHO corrects underbite issues with different treatment approaches.

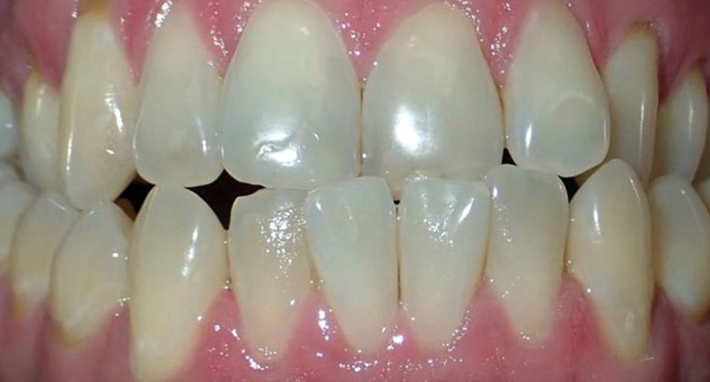
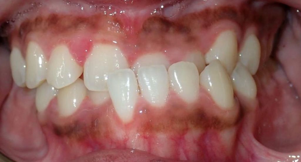
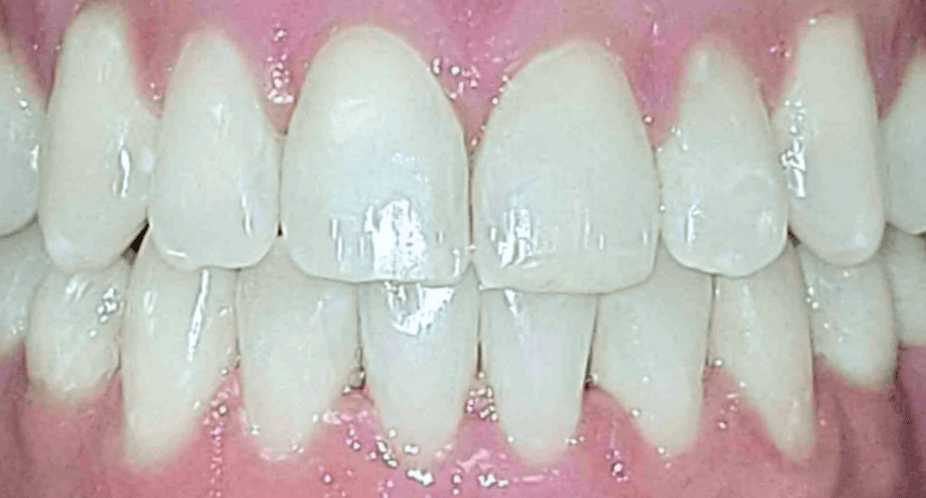
Patient 1

This patient’s severe underbite caused her lower jaw to protrude forward, so her lower row of teeth covered her upper row. She underwent orthodontic surgery to correct her jaw position and followed an Invisalign regimen to correct alignments, giving her some stunning results.

The patient’s underbite was resolved; they were thrilled with their new smile and improved facial structure.

Before

underbite-Patient-1-Before-2

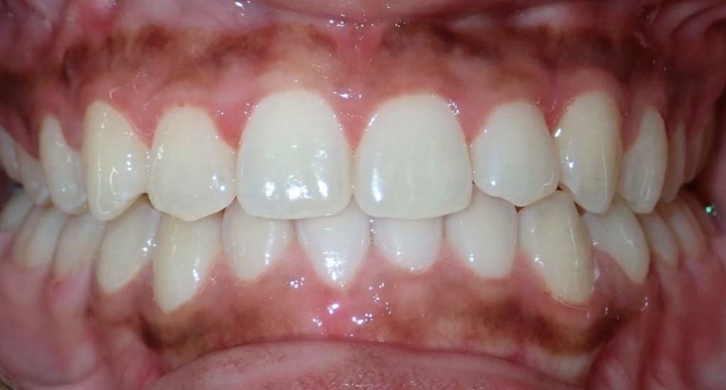
After

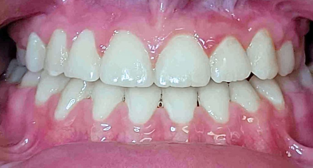
Patient 2

This patient experienced a moderate underbite that caused his lower row of teeth to jut forward slightly and extend over the upper row of teeth. His teeth had also shifted due to severe crowding.

He underwent orthognathic surgery in conjunction with traditional braces. Soon after, he was left with properly aligned teeth, a corrected jaw position, and a smile he “absolutely loves!”

Before

underbite-Patient-2-Before-3

After

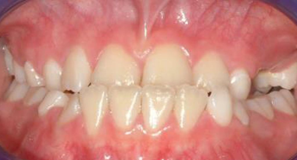
Patient 3

Patient 3, a young individual, presented with a pronounced forward jaw protrusion, resulting in the lower jaw and teeth overlapping in front of the upper teeth. To address this issue, the BHO team initiated a treatment plan with traditional braces. We also planned for orthognathic surgery (jaw surgery) along with the braces. These braces were strategically designed to gradually realign the teeth by guiding them backward. Additionally, elastic bands were incorporated into the treatment to enhance the effectiveness of both teeth and jaw alignment.

Before

underbite-Patient-3-Before-1

After

What Is an Underbite?

Underbites – a prevalent malocclusion – manifest when the lower set of teeth juts forward, resulting in substantial overlap of the upper teeth and a noticeable divide when the jaws are closed.

These underbites come in varying levels of severity, from subtle to highly conspicuous. Beyond cosmetic considerations, they can also pose functional and oral health challenges. These issues encompass difficulties in biting and chewing, speech impediments, accelerated tooth wear and damage, jaw discomfort from strained muscles and joints, and may also affect facial structure.

Exploring orthodontic treatment as a viable solution for addressing these concerns may be advisable.

Beverly Hills Orthodontics has corrected countless mild-to-severe underbite cases across Los Angeles since we began operations in 2008. With locations in Beverly Hills, Downtown LA, Studio City, and Alhambra, Dr. Monica Madan and the BHO team use Invisalign, braces, and other measures to eliminate underbites and provide patients with flawless smiles.

How Are Underbites Treated?

Elastics: Rubber bands, in conjunction with conventional braces, are employed to gradually shift the lower jaw forward, ultimately achieving the correct alignment with the upper jaw. Elastic bands are commonly employed to address underbites of varying severity, and they can be integrated with other treatment options like headgear, surgical procedures, or tooth extraction when necessary.
Reverse Pull Headgear: Tailored for correcting significant underbites in pediatric patients, Reverse Pull headgear stabilizes both the jaw and teeth, aligning them properly during the formative years. This treatment typically entails wearing the headgear for 12-14 hours daily for 12-18 months, effectively addressing underbite concerns without necessitating extensive surgical procedures.
Jaw Surgery: Orthognathic surgery may become a crucial step in treating severe underbites, particularly in older patients with a substantial difference in jaw size. This surgical procedure entails repositioning the upper and lower jaws to establish the correct alignment. Typically, surgery is contemplated after the conclusion of orthodontic treatment to ensure comprehensive correction.
Tooth extraction: Tooth extraction presents a practical option for individuals experiencing underbites due to overcrowding. By strategically removing the teeth responsible for misalignment, orthodontic professionals can effectively generate the required space to eliminate the underbite.

Invisalign: Invisalign offers a compelling alternative for individuals grappling with dental underbites resulting from misalignments. Invisalign aligners are proficient at gently shifting teeth into their intended locations, effectively addressing the underbite issue, all while maintaining discretion and convenience.

Why Should You Consider Orthodontic Treatment for Your Underbite?

  • Improved Aesthetics: Orthodontics corrects the alignment of your teeth and jaws, which can significantly reduce the prominence of your underbite. This leads to a more aesthetically pleasing smile that boosts self-confidence.

  • Enhanced Functionality: Underbites can interfere with the mechanics of chewing, speech, and overall oral function.

  • Comfort and Pain Reduction: Moderate to severe underbites can cause discomfort, jaw pain, and even headaches due to their strain on the jaw muscles and joints. Moreover, underbites increase the risk of developing temporomandibular joint (TMJ) issues. Orthodontic care can alleviate the discomfort associated with underbites, improving your quality of life.

  • Prevention of Dental Issues: Underbites can increase the risk of dental problems such as accelerated and uneven tooth wear, chipping, and increased susceptibility to cavities. Treating your underbites by an orthodontist can go a long way toward improving your oral health. 
Happy female with a beautiful smile

Beverly Hills Provides the Best Underbite Treatment in Los Angeles

Underbites not only have the potential to affect your self-confidence and hinder your willingness to smile, but they can also give rise to oral health challenges. Exploring real-life transformations in individuals who have undergone treatment at Beverly Hills Orthodontics can offer you some insight into the advantages of our services.

We provide a range of treatments tailored to address underbites and help you achieve the smile you deserve, including:

  • Braces
  • Elastics
  • Headgear
  • Jaw surgery
  • Tooth extraction
  • Invisalign

Through a comprehensive evaluation of your unique requirements, we can develop a personalized orthodontic strategy to give you the radiant smile you’ve always wanted, typically within 12-24+ months.

At the helm of our practice is Dr. Monica Madan, a distinguished Ivy League alumna who remains committed to advancing the field of orthodontics. Our team remains at the forefront of orthodontic advancements by using cutting-edge tools and techniques. As a prestigious Blue Diamond Top 1% Invisalign provider, a distinction held by only a few in California, you can trust our expertise to provide you with the finest underbite treatment.

With offices in Beverly Hills, Studio City, Alhambra, and Downtown LA, Beverly Hills Orthodontics is accessible to nearly all residents of Los Angeles County.

Want to get more underbite before and after information? Call or text BHO at 310-785-0770 or visit our contact page to book a whitening appointment and set yourself on the path toward a brighter smile.

NOTE: All blog content is intended to supplement—NOT REPLACE—the expertise of a healthcare professional and should not be construed in any way as medical advice. Consult a professional orthodontist directly, like the ones at BHO, to assess your individual needs and advise the best course of treatment.
Happy Girl

Get Started Today

Ready to transform your smile?

Request Free Consult
Special Offer

$1,000 Off Invisalign or Braces

Get Started

patient reviews

Enjoy our 5-star experience.

We are thankful for the opportunity to serve our communities with the highest quality care. Check out what our patients are saying about their 5-star experience with us!

smiling-beautiful-girl-her-handsome-boyfriend-casual-summer-clothes-web
Ezra L.
As a first time patient, I couldn’t have asked for a better visit. From the moment I walked in I knew I was in good hands. I would easily recommend.
Ryan C.
I recommend BHO if you want premier Invisalign treatment along with a strong connection with the people that help treat you.

I’ve been with BHO for around two and a half years now, and the amount of progress I’ve made in my bite is astounding. I wish I could attach photos, but I started off with a bite that looked like if you combined the worst parts of a crossbite and underbite, and then doubled the severity.

However, now I’m nearly done, and find that I when I smile and look in the mirror, I am genuinely happy at what I see. Dr. Madan is a great orthodontist without doubt, but also I believe equally as good in quality of character. The relationship between client and provider in any sort of medical service is paramount, and whenever I’ve brought up my concerns to her she’s answered wholeheartedly.

Once again, if you have any orthodontic issues - crooked teeth, gaps, or most importantly with your bite, then BHO won’t let you down.
Response from the owner:Thank you, Ryan, for your wonderful review! It’s fantastic to hear about your remarkable progress and your positive experience with Dr. Madan. We’re committed to building strong relationships and ensuring every smile shines bright!
Cindy M.
Dr. Madam along with her whole team are amazing! Very patient and attentive, always welcoming and making the Invisalign journey a pleasant experience
Response from the owner:Thank you, Cindy! We're thrilled to hear that you had a positive experience with Dr. Madan and our team. Your satisfaction is our priority, and we look forward to continuing your Invisalign journey!
Chelsea C.
Went in for a free consultation. I saw Dr. Serena and Angela who helped answer all my questions. The staff that took my scans were also very nice and friendly!
Response from the owner:Thank you for your wonderful review, Chelsea! We're thrilled to hear that Dr. Serena and Angela addressed all your questions and that our staff made your visit enjoyable. We look forward to seeing you again!
read more reviews
come visit us

We can’t wait
to see you soon!

  • BEVERLY HILLS
  • 2080 Century Park E #505
    Los Angeles, CA 90067
  • DOWNTOWN LA
  • 740 S. Olive St. Unit 105
    Los Angeles, CA 90014
  • STUDIO CITY
  • 10751 Riverside Dr.
    Toluca Lake, CA 91602
  • ALHAMBRA
  • 320 S. Garfield Ave. Suite 306
    Alhambra, CA 91801
Alhambra

Studio City

Downtown LA

Beverly Hills

Sign up for our Newsletter!

Keep up to date on everything Beverly Hills Orthodontics is doing with our patients and the community!

[ctct form="16980" show_title="false"]
Footer logo

QUICK LINKS

  • Our Practice
  • What We Do
  • Patient Resources
  • Contact Us
  • In The Press
  • Our Practice
  • What We Do
  • Patient Resources
  • Contact Us
  • In The Press

CONTACT US

  • Beverly Hills
  • Downtown LA
  • Studio City
  • Alhambra
  • Call/Text (310) 785-0770

FOLLOW US

  • Facebook
  • Instagram
  • Twitter
  • YouTube
  • Yelp

CONTACT HOURS

Monday8:00am – 6:00pm
Tuesday8:00am – 6:00pm
Wednesday8:00am – 6:00pm
Thursday8:00am – 6:00pm
Friday8:00am – 6:00pm
Saturday8:00am – 4:00pm
Request Free Consult

© Copyright 2026 Beverly Hills Orthodontics | Sitemap | Privacy Policy | Notice of Privacy Practices | Accessibility 

We're Hiring! Contact Us for Details on Open Positions!

Apply Now
Related Pages:
  • gap teeth: before and after
  • crowded teeth: before and after
  • crossbite: before and after
  • before and after braces
  • invisalign: before and after
  • black triangle: before and after
  • crooked teeth: before and after
  • overbite: before and after treatment at bho
  • do braces fix an underbite?
  • underbite correction without surgery

under bite, underbite before and after, underbite treatment, severe underbite treatment, pictures of underbite, underbite smile, underbite surgery before and after, underbite before and after braces, underbite braces before and after